發酵豆粕中的小肽與抗原蛋白是衡量品質優劣的兩項重要指標,長期以來國內的發酵豆粕產品主要由乳酸菌通過厭氧發酵生產,而出于便捷考慮,業內通常使用酸溶蛋白法測定小肽含量,使用ELISA法測定抗原蛋白含量,但隨著發酵技術的提升,由芽孢桿菌通過有氧發酵生產的發酵豆粕在國內市場上漸露鋒芒,這兩種測定方法是否適用,是否能作為客觀反映小肽和抗原蛋白真實含量的指標,引起了關注與討論。
1 小肽-酸溶蛋白法
①不同pH 發酵(或酶解)的豆粕在酸中的溶解度不同

微生物發酵過程中對蛋白質的分解,實質上就是微生物產蛋白酶的作用。但是,不同酸堿性的蛋白酶酶解豆粕所得的小肽在酸中的溶解度不同,其中酸性蛋白酶酶解小肽高達96%可以溶于三氯乙酸,而堿性蛋白酶酶解小肽不到 50%。因此,酸溶蛋白更適合評估酸性發酵或酶解的豆粕產品,將低估希杰速益肽這類芽孢桿菌發酵的中偏堿性產品的小肽含量(劉慧珍,江南大學碩士論文,2007)。速益肽 55%CP 產品酸溶蛋白相對低(6-10%)。
②小肽應有明確的分子量定義
食品國家標準《大豆肽粉GBT 22492》2008 版將小肽的定義由<10 KDa 降低到<5 KDa。營養學上關于小肽的定義稍有差別,但是以分子量范圍來定義是共識。高效凝膠過濾色譜法(HPLC)是小肽含量和蛋白分解程度測定的“黃金標準”。該方法以多孔性填料為固定相,依據樣品組分分子體積大小的差別進行分離,在肽鍵的紫外吸收波長214nm 條件下檢測,使用凝膠色譜測定分子量分布。研究也表明,發酵豆粕中大分子蛋白的分解程度(蛋白質和肽的分布)與仔豬小腸絨毛結果和生長性能相關(張露露等,2016)。傳統的酸溶蛋白不能區分蛋白氮、游離氨基酸氮和非蛋白氮,也不能給出明確的分子量。
③酸溶蛋白只體現了速益肽小肽含量的一小部分
希杰研究所實驗發現,同時測定的發酵豆粕樣品整體蛋白分布(紅色峰)和三氯乙酸溶解后上清液的蛋白分布結果(藍色峰)。三氯乙酸提取的分子量5kDa 以下蛋白質部分,而紅色圖譜和藍色圖譜之間存在一個灰色的面積區域是三氯乙酸沒有辦法提取出來的樣品中的肽含量的部分,即三氯乙酸并不能完全溶解出樣品中的所有的肽,只能溶解出其中的一小部分(如下圖)。

2 抗原蛋白-ELISA 法和SDS 法
①ELISA 法測定加工豆類產品的缺陷
致敏性不確定:目前已有商品化大豆抗原蛋白的檢測試劑有大豆球蛋白檢測試劑盒和β-伴大豆球蛋白檢測試劑盒,但是另兩種大豆抗原蛋白 Gly m Bd 30K 和 Gly m Bd 28K 并沒有商品化試劑盒。這兩種抗原蛋白分別被 65%和 25%的大豆過敏病人血清識別。目前商品化的β-伴大豆球蛋白的α亞基與α’亞基、β亞基之間有很高的同源性,分別為 90.14 和 76.2%,但是α’亞基、β亞基并不是致敏蛋白。
變異大:目前主流的商品化試劑盒法不適用于熱加工后大豆產品。首先熱加工過程中,蛋白變性和美拉德反應都將影響產品中的抗原萃取率,而當前主流商品化試劑盒中使用的Tris-Hcl 萃取液實際的抗原萃取率不到50%,且變異大(如下圖)。

假陽性:目前主流的商品化試劑盒法在測定發酵或酶解后的大豆產品也存在爭議。大豆抗原蛋白亞基(導致抗原活性的基礎)在分解過程中,一方面通過降解減少抗原活性,另一方面也將導致更多的抗原表位暴露,從而增加“所謂”的抗原活性,但是這種活性是否能引起過敏反應仍不清楚。一般認為抗原分子量一般在10 KDa 以上,具有良好抗原活性其分子量需超過500 KDa。傳統的營養學理論也認為只有完整的抗原亞基進入血液才能導致致敏反應。因此希杰認為SDS 是鑒定抗原降解的有效方法,并以最小亞基分子量30 KDa 作為豆粕降解標準,如下圖。

②ELISA測定食品抗原問題探討
影響因素:提取方法;水解或發酵;熱加工;交叉反應
結論:
FDA(2005)認為多數ELISA方法可能并不適用;
ELISA檢測不出也不能判斷無抗原活性,建議用Western判定。
③SDS 電泳測定抗原的注意事項
抗原萃取率:不同溶劑對大豆抗原的萃取結果差異很大,高溫使發酵豆柏表層蛋白變性,并發生美拉德反應,Tris-HCl 提取液不能將被變性蛋白包裹的抗原蛋白提取出來。而堿性溶液萃取率較好,其中氫氧化鉀對大豆蛋白的萃取率約70%,尿素的萃取率最佳(80~90%)。
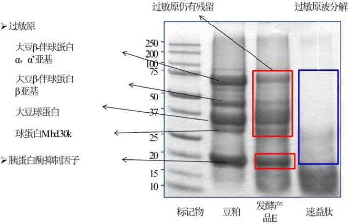
上樣蛋白濃度:發酵豆粕產品因加工工藝差異較大,即使用萃取率最高的試劑進行萃取,萃取率也是有較大差異的,因此SDS 電泳測定各產品的抗原前,需要確定上樣樣品的蛋白含量是否一致,以校正萃取率的差異,否則將出現萃取率高的產品條帶多。希杰速益肽分解程度高,采用低溫干燥,熱損傷低,萃取率高;而部分高溫處理產品萃取率較低,從而導致測定假象(見下圖,某國際知名農牧企業提供)。

希杰推薦的蛋白濃度測定方法如下:將離心后樣品稀釋20X,取50μL 與950μL BCA 反應液混勻(20X 倍數關系),放置在37℃恒溫箱30min。反應結束后測定562nm 的吸光度。用已知不同濃度的BSA(牛血清蛋白0、0.25、0.5、1、1.25mg/mL)與BCA 混合(20X 倍數關系,同上)后于37℃恒溫箱30min 反應后的吸光度求校正曲線及其方程。計算得出樣品中40ug 蛋白含量的點樣量。

-
[03-24]
-
[03-04]
-
[01-07]
-
[12-15]
-
[11-19]
-
[11-05]
-
[05-08]
-
[02-07]
-
[01-24]
-
[09-14]



