減抗禁抗時代的到來給畜牧養殖業帶來新的挑戰,尋找優質、高效、安全的替抗產品是推動畜牧養殖業健康發展的關鍵。細菌性腹瀉是蛋雞養殖業中最為常見的一種疾病,由于抗生素的不合理使用,導致耐藥菌株逐漸增多,近年來產蛋雞頑固性腹瀉增多。微生態制劑是由具有益生功能活菌制劑制備的安全可靠的飼料添加劑,是極具潛力的替抗產品之一。腸道作為動物機體養分消化和吸收的主要代謝場所,也是機體發揮防御和免疫功能最重要的器官,腸道表面寄生的微生物構筑了腸道的第一道生物屏障。丁酸梭菌是革蘭氏陽性菌中的一種厭氧的芽孢桿菌,抗逆性強,能夠耐高溫、酸性條件。丁酸梭菌的代謝產物具有抑菌、促生長、調節腸道健康等多種功能。糞腸球菌代謝會產生乳酸,是一種公認的抗逆性較強的益生乳酸菌,能夠抑制病原菌在動物腸道內的黏附和增殖,改善動物腸道健康狀況,進而提高動物生長和生產水平。前期研究表明,產蛋雞飼糧中添加枯草芽孢桿菌能夠提高蛋雞生產性能,改善蛋品質和腸道絨毛發育,以及調節盲腸微生物組成。丁酸梭菌、枯草芽孢桿菌和糞腸球菌作為減抗替抗綠色、高效的新型飼料添加劑,具有較好的應用前景。本試驗以海蘭褐蛋雞為研究對象,研究復合微生態制劑對蛋雞的生產性能、腸道黏膜形態、腸道有害菌、糞便含水率和氮排泄的影響,為微生態制劑在蛋雞生產中的應用和替抗產品研發提供參考。
1 材料與方法
1.1 材料
某品牌復合微生態制劑,主要組分為:丁酸梭菌、枯草芽胞桿菌、糞腸球菌。
1.2 方法
1.2.1 試驗設計
試驗選用6000只150日齡的健康狀況良好且體重相近的海蘭褐商品蛋雞,隨機分為對照組和試驗組。對照組飼喂基礎日糧,基礎日糧參照《家禽營養需要》(NRC,1994)和海蘭公司蛋雞營養標準配制,日糧配方為:豆粕25%,玉米60.5%,預混料5%,貝殼8%,麩皮1.5%。試驗組在基礎日糧中添加0.05%復合微生態制劑。試驗期共90d。飼養試驗在鹽城市農科院生態養殖基地進行。試驗蛋雞采用3層階梯式籠養方式,自由飲水、采食。光照強度15lux,光照時間16h,雞舍日常管理根據鹽城市農科院生態養殖基地管理規范進行。
1.2.2 檢測指標與方法
(1)生產性能測定:試驗期間每天14:00定時收蛋,分別記錄產蛋總數、總蛋重、死淘數等數據,每周統計一次蛋雞飼料消耗量,計算試驗期間各組產蛋率、平均蛋重、料蛋比和死淘率。(2)糞便水分和粗蛋白測定:在試驗第 90天,試驗組和對照組各固定6籠位,采集鮮雞糞樣品,每個采樣點采集5份糞便樣品混合均勻,作為1個樣品,共采12個樣品,測定粗蛋白和水分指標。粗蛋白質測定參照國標GB/T6432.水分的測定參照國標GB/T6435.計算蛋雞氮排泄率,計算公式:氮排泄率(%)=糞尿氮/食入氮x100.(3)蛋雞腸道黏膜形態及測定:在試驗第90天,對照組和試驗組各隨機取6只雞進行屠宰,酒精消毒后迅速剖開腹腔,取十二指腸、空腸、回腸各2cm,置于4%多聚甲醛溶液中固定。脫水石蠟包埋后,用蘇木精-伊紅(HE)染色。顯微鏡下觀察切片,并用相機處理軟件測量絨毛高度和隱窩深度,并計算絨隱比(絨毛高度與隱窩深度的比值)顯微鏡型號為日本尼康80i,相機處理軟件為NISElemenys D。(4)腸道大腸菌群分離檢測:試驗試驗第0天、第90天,試驗組各隨機取12只雞進行屠宰,采集盲腸內容物樣品,開展大腸菌群分離培養檢測。大腸菌群檢測參照《食品安全國家標準食品微生物學檢驗大腸菌群計數》(GB4789.3-2016)(5)病死雞病理剖檢:試驗期間,對試驗組和對照組所有死淘蛋雞進行病理剖檢,統計因細菌性腹瀉病死淘汰的蛋雞數量。
1.2.3 統計與分析
數據經Exce1 2010軟件進行處理。
2 結果與分析
2.1 生產性能指標的測定結果
由表1可知,與對照組相比,試驗期間試驗組產蛋率提高6.76%,平均蛋重增加0.51%,料蛋比降低1.79%,死淘率降低5.33%。
表1 微生態制劑對蛋雞生產性能的影響
|
組別 |
平均產蛋率(%) |
平均蛋重(g) |
料蛋比 |
死淘率(%) |
|
試驗組 |
89.53 |
58.85 |
2.24 |
0.75 |
|
對照組 |
95.58 |
59.15 |
2.20 |
0.71 |
2.2 糞便水分和粗蛋白測定結果
由表2可知,與對照組相比,試驗組蛋雞糞便含水率下降1.36%,粗蛋白含量下降3.95%,氮排泄率降低3.95%。
表2 微生態制劑對蛋雞糞便成分的影響
|
組別 |
含水率(%) |
粗蛋白含量(%) |
氮排泄率(%) |
|
試驗組 |
78.39 |
6.84 |
38.41 |
|
對照組 |
77.32 |
6.57 |
36.89 |
2.3 蛋雞腸道黏膜形態及其測定結果
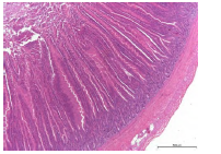
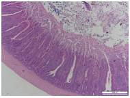
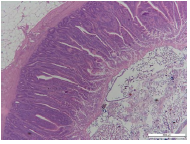
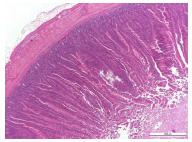
由圖1-7可知,與對照組相比,飼糧中添加微生態制劑改善了十二指腸和空腸黏膜形態;與對照組相比,試驗組十二指腸絨隱比提高7.00%;試驗組空腸絨隱比提高8.79%。

圖1 微生態制劑對腸道黏膜(絨毛長度/隱窩深度)的影響

圖2 對照組十二指腸切片 圖3 試驗組十二指腸切片

圖4 對照組空腸切片 圖5 試驗組空腸切片

圖6 對照組回腸切片 圖6 試驗組回腸切片
2.4 腸道大腸菌群分離檢測結果
通過在試驗組蛋雞飼料中添加微生態制劑,蛋雞盲腸中大腸菌群第0天檢出率58.33%,第90天檢出率33.33%,降低了42.85%。病外雞病理剖檢結果試驗期間,對照組死淘總數25只,對病死雞病理剖檢發現3只因細菌性腹瀉死亡;試驗組死淘總數19只,對病死雞病理剖檢發現1只因細菌性腹瀉死亡;與對照組相比,試驗組因細菌性腹瀉死淘的蛋雞數占蛋雞總死淘數比例降低了56.17%。
3 討論
3.1 復合微生態制劑對蛋雞生產性能的影響
復合微生態制劑是將多種有益菌、酶制劑復合,可協同發揮多菌酶的生物學活性。褚素喬等研究表明,在蛋雞基礎日糧飼糧中添加益生菌微生態制劑,可提高羅曼褐蛋雞的產蛋率和平均蛋重,降低料蛋比,同時提高雞蛋的蛋白高度。也有研究結果顯示,蛋雞生產中添加微生態制劑可降低死淘率,顯著改善蛋品質,明顯提高雞禽流感抗體的效價水平。本試驗結果顯示,復合微生態制劑飼喂3個月后,試驗組蛋雞的產蛋率提高6.76%,平均蛋重增加 0.51%,料蛋比降低1.79%,死淘率降低5.33%,細菌性腹瀉死淘蛋雞數占蛋雞死淘總數比例降低了56.17%,與前人研究結果相似。
3.2 復合微生態制劑對蛋雞腸道黏膜形態的影響
腸道形態結構是衡量動物腸道發育狀態的重要指標之一。健康的腸道形態是營養物質高效吸收的基礎,主要包括絨毛高度、隱窩深度和絨隱比等。丁酸梭菌和糞腸球菌均是蛋雞腸道益生菌,其代謝產生的乳酸、丁酸等短鏈脂肪酸,能夠降低胃腸道內pH,抑制一些致病菌的定植和生長,改善腸道健康。王水等研究表明,飼糧中添加2.5x108CFU/kg的丁酸梭菌,能夠顯著提高蛋雞小腸各腸段的絨毛高度以及回腸的絨隱比,并且對十二指腸和回腸的腸壁厚度也有改善作用。本試驗結果顯示,飼糧添加由丁酸梭菌、枯草芽孢桿菌和糞腸球菌組成的復合微生態制劑能夠提高十二指腸和空腸的絨毛高度及絨隱比,與上述研究結果相似。復合微生態制劑對蛋雞腸道形態的改善,一方面是因為丁酸梭菌代謝產生的丁酸,是結腸黏膜細胞生長的主要能源物質,也是修復腸上皮細胞和細胞再生所需的主要營養物質,對維持腸上皮的正常結構及促進腸道細胞的增殖和分化具有重要作用;另一方面,也可能是由于糞腸球菌具有很強的黏附作用,能夠緊密附著在腸道表面,形成生物屏障,從而保護腸道結構;也可能是益生菌和酶制劑聯合產生作用,具體的作用機制尚待研究。
3.3 復合微生態制劑對蛋雞有害菌、糞便含水率和氮排泄的影響
大腸桿菌是蛋雞體內的一種條件致病菌,目前因高密度集約化養殖增加了雞群的發病率,同時抗生素的長期使用導致大腸桿菌耐藥日益嚴重,給我國蛋雞養殖帶來了巨大經濟損失。有研究表明,蛋雞日糧中適量添加復合微生態制劑,可提高產蛋后期生產性能,降低料蛋比,提高腸道內植物乳桿菌含量,同時降低大腸桿菌含量。本試驗在第90天采樣檢測,發現飼喂復合微生態制劑的試驗組大腸菌群檢出率顯著降低了42.85%,有效抑制腸道有害菌的增殖。雞糞水分含量過高會影響雞舍內外的環境,易滋生有害昆蟲,易釋放氨氣、硫化氫等有害氣體,直接著導致雞群生產性能降低,從而會降低企業的養殖效益。前人研究顯示,在飼糧中添加微生態制劑對可一定程度上提高生產性能,同時,蛋雞糞便含水率呈降低趨勢,但差異不顯著。本試驗顯示,復合微生態制劑飼喂組相比對照組蛋雞糞便含水率下降1.36%,粗蛋白含量下降3.95%,氮排泄率降低3.95%。雞糞含水率的降低一定程度上說明了蛋雞腹瀉癥狀改善,同時有利于降低糞污處理成本,同時氮排泄量減少,說明了復合微生態制劑提高了蛋雞的飼料轉化率,有助于節本增效,減少對環境的污染。
4 結論
本試驗條件下,飼糧添加0.05%復合微生態制劑能夠顯著提高蛋雞的產蛋性能、改善腸道健康,提高飼料利用率,降低氮的排泄量,抑制大腸菌群的增殖,有效減少了蛋雞細菌性腹瀉的發病率。

-
[02-02]
-
[01-26]
-
[01-19]
-
[01-12]
-
[01-05]
-
[12-22]
-
[10-13]
-
[10-08]
-
[09-22]
-
[09-15]



